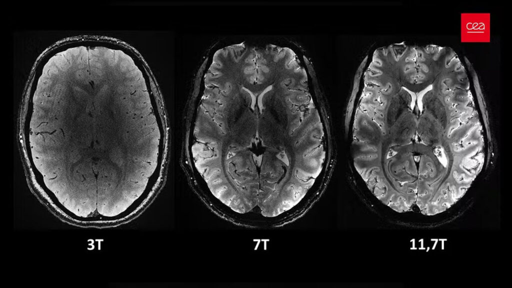
SAÚDE Imagens inéditas do cérebro são reveladas por aparelho de ressonância mais potente do mundo REDAÇÃO 02/04/2024 as 8:16 pm Compartilhe: Quer receber notícias no seu WhatsApp? Então, entre no grupo do Fato360 agora!
INTERNACIONAL Donald Trump endurece e diz que EUA vão bloquear o Estreito de Ormuz REDAÇÃO as 12:35 pm
INTERNACIONAL Donald Trump endurece e diz que EUA vão bloquear o Estreito de Ormuz REDAÇÃO as 12:35 pm
BRASIL Avião faz pouso emergencial em SP após motor pegar fogo logo após a decolagem; vídeo REDAÇÃO 30/03/2026 as 3:31 pm